診療時間/10:00-18:00 休診日/月・金・祝※日曜日も診療あり

FOR CHILDREN
歯並びの種類/空隙歯列

  1. HOME
  2. 空隙歯列

空隙歯列とは

空隙歯列(くうげきしれつ)とは、歯と歯の間に隙間が空いている歯並びのことです。「すきっ歯」とも呼ばれます。

特に、上の前歯の中央にできる隙間は「正中離開(せいちゅうりかい)」と呼ばれ、目立ちやすいため気にされる方が多いです。

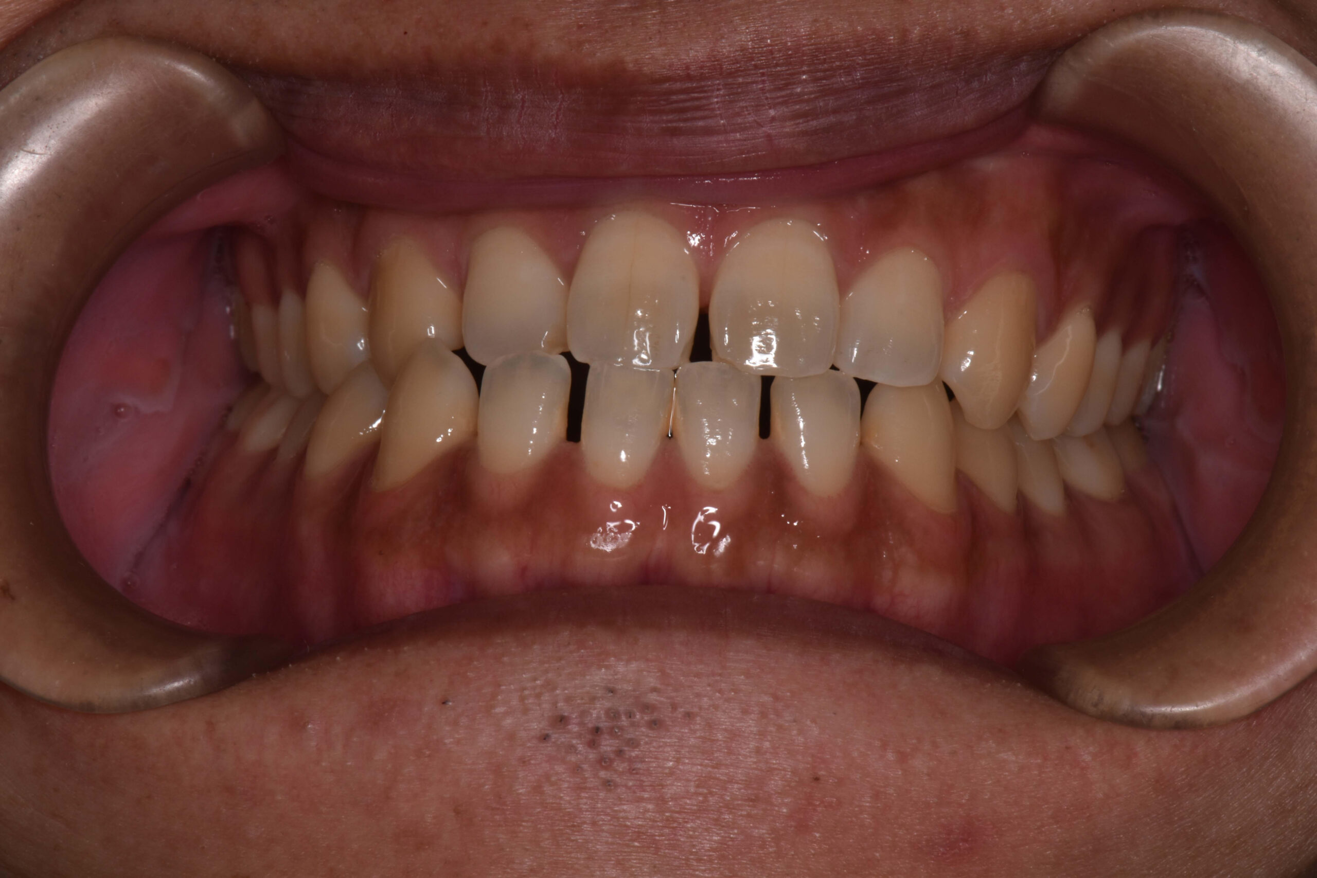
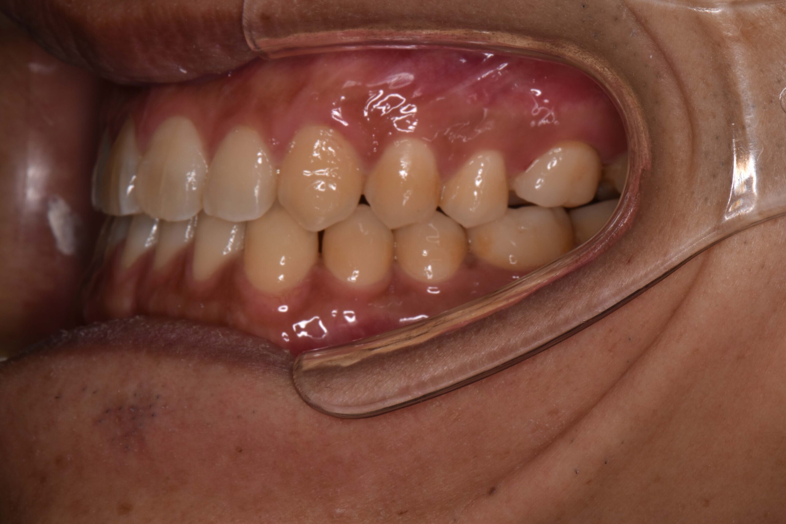
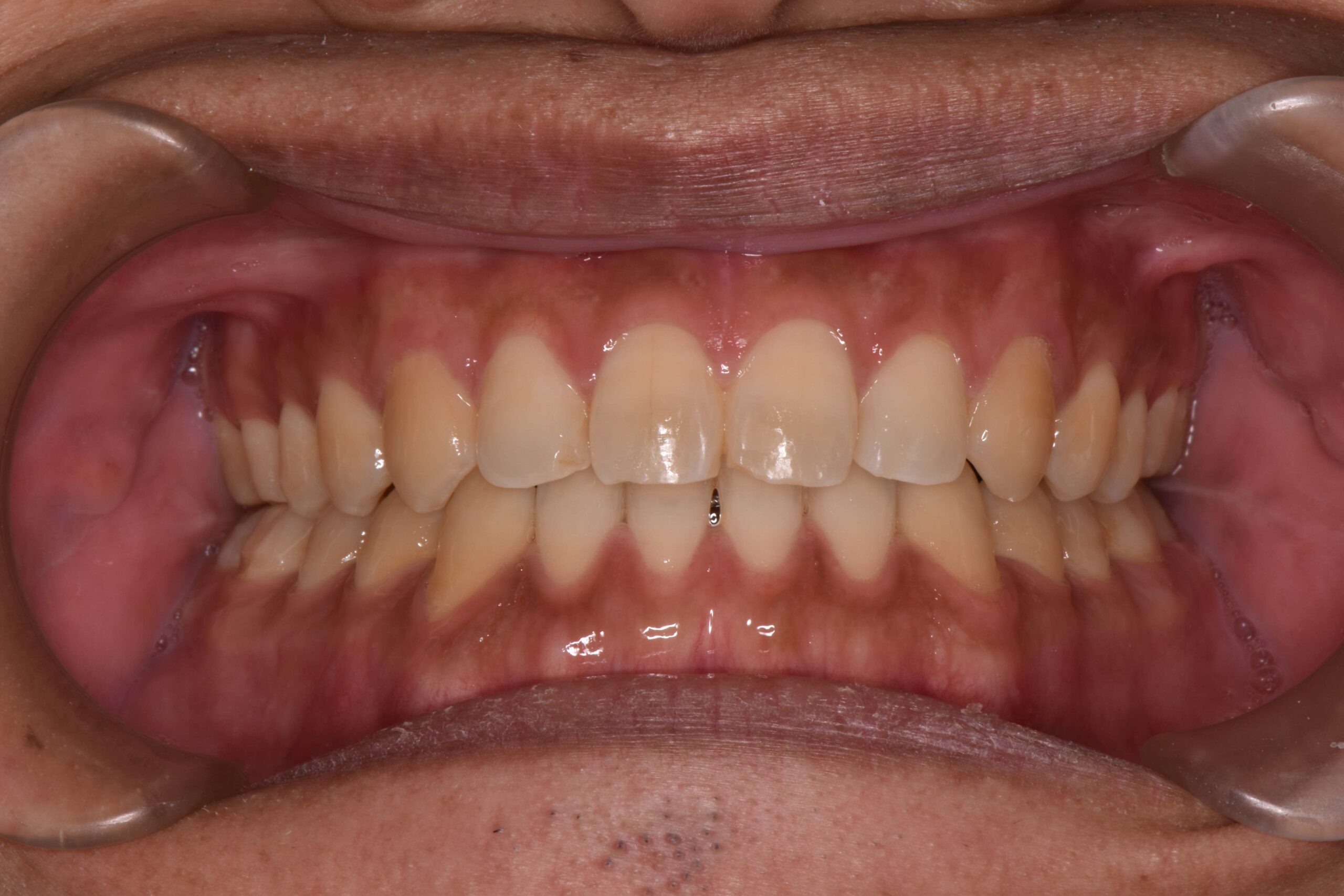
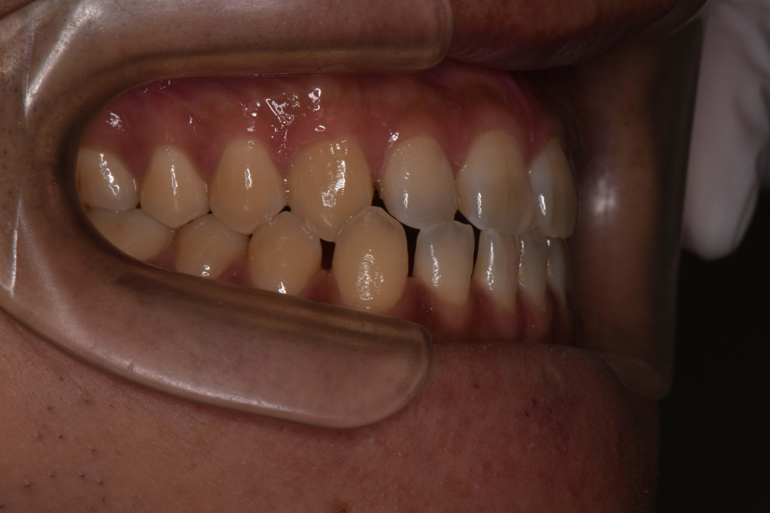
当院の空隙歯列の治療例

治療前の写真 治療前の写真 治療前の写真
治療後の写真 治療後の写真 治療後の写真
症例分類 空隙歯列
主訴 すきっ歯。上下前歯の中心のずれ。切端咬合。歯並びをキレイにしたい。
年齢 42歳2ヶ月
性別 男性
抜歯部位 非抜歯治療(歯を抜かないでの治療)
使用装置 マウスピース(インビザライン)
治療期間 1年5ヶ月
保定装置 固定式保定装置(舌側)、クリアータイプ保定装置(昼間)と夜間にbegg typeの保定装置
費用 相談料3,300円、検査料37,800円、診断料21,600、動的矯正治療費957,000円、調節量4,400円×13回、保定装置料77,000円
リスク・注意点 上顎骨に対して下顎骨が前方にあり、骨格の前後的差異が小さいストレートな骨格で、上顎前歯が大きく唇側に傾斜し、下顎前歯歯舌側傾斜していて骨格の不調和を歯の傾斜によって、受け口にならず切端咬合で並んでいる。  改善には下顎の歯列を後方に移動して空隙閉鎖を図り。上顎は歯列全体をやや前方に移動させ、前歯をわずかに後退させて空隙閉鎖を図り、顎間ゴムを使用して上下の前歯の中心のずれを一致させた。  矯正での歯の移動のリスクとして歯根吸収、歯肉退縮、歯肉餓死が考えられます。  上下前歯が後退して口腔内の容積が小さくなってるので、舌がこれに適応するまでは、保定装置の長期の使用が後戻り防止には必要です。

空隙歯列の主な原因

空隙歯列の原因は一つではなく、複数の要因が絡み合っていることが多いです。

歯と顎のサイズの不調和

  • 顎が大きい:顎の骨の大きさに対して、歯が小さすぎる場合に隙間ができます。
  • 歯が小さい(矮小歯):生まれつき歯の大きさが小さい場合、隙間ができやすくなります。

歯の数の問題

  • 先天性欠如:生まれつき永久歯の本数が少ない場合、歯が並ぶスペースが余って隙間ができます。
  • 過剰埋伏歯:本来の歯とは別に、余分な歯が歯茎の中に埋まっており、それが原因で隣の歯を押し広げて隙間ができることがあります。

悪い癖や習慣

  • 舌突出癖:舌で歯を内側から押す癖があると、歯が外側へ広がり、隙間ができます。
  • 指しゃぶり:長期間にわたる指しゃぶりは、前歯を前方へ押し出す力となり、歯並び全体に影響を与えることがあります。

歯周病

  • 歯周病が進行すると、歯を支えている骨が溶けてしまい、歯が動いて隙間が広がる場合があります。

上唇小帯の異常

  • 上唇と歯茎をつなぐ「上唇小帯」という筋が、通常よりも太かったり、前歯の間に深く入り込んでいたりすると、隙間を形成する原因となります。

空隙歯列のリスク

空隙歯列は見た目だけの問題ではなく、放置するとさまざまなデメリットが生じる可能性があります。

  • 審美的な問題: 歯の隙間が目立つため、笑顔に自信が持てなくなることがあります。
  • 発音の問題: 隙間から空気が漏れることで、特に「サ行」や「タ行」などの発音が不明瞭になることがあります。
  • 口腔衛生の問題: 歯と歯の間に食べ物が詰まりやすくなり、磨き残しが増えるため、虫歯や歯周病のリスクが高まります。
  • 機能的な問題: 食べ物を噛み切りにくかったり、顎関節に負担がかかったりすることがあります。

空隙歯列の治療方法

矯正治療

  • ブラケット矯正やマウスピース矯正で歯列全体を動かして隙間を閉じていきます。

補綴治療

  • ラミネートベニアやクラウンで歯の幅を広げる。

欠損補綴

  • 歯がない場合はインプラントやブリッジで補う。

はじめての方でもお気軽に
お問い合わせ・
ご予約ください。

アクセス
ACCESS

〒733-0812 広島市西区己斐本町1-17-5

JR西広島駅
広電西広島・己斐駅から、徒歩2

Google Maps

電話番号082-271-8148

はじめての場合は、必ずご予約の上ご来院ください。

診療時間
SCHEDULE

診療時間
10:00-13:00 × ×
14:00-18:00 × ×

日曜日も診療しております(隔週17:00まで)
※休診日:月・金・祝