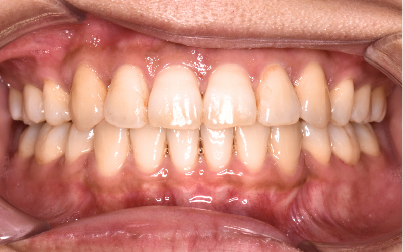
ブラケットとワイヤーで歯を動かす矯正治療
幅広い症例に対応ワイヤー矯正
歯の表側に装置を装着し、ワイヤーの力で歯並びを整える矯正治療です。幅広い症例に対応でき、計画的に歯並びとかみ合わせを整えていきます。
- 幅広い症例に
対応 - 歯並びを
細かく調整 - 歴史ある
矯正方法 - 安定した治療
計画が可能
- ワイヤー矯正
- 649,000円〜759,000円(税込)
診療時間/10:00-18:00 休診日/月・金・祝※日曜日も診療あり
長期安定・
目立たない・
自宅でチェック
―ライフスタイルに合わせて選べる矯正歯科治療
確かな技術で実現する、理想の歯並び
ブラケットとワイヤーで歯を動かす矯正治療
歯の表側に装置を装着し、ワイヤーの力で歯並びを整える矯正治療です。幅広い症例に対応でき、計画的に歯並びとかみ合わせを整えていきます。
インビザライン対応
透明なマウスピース型装置で歯を動かす矯正治療です。取り外しができるため、食事や歯みがきも普段通り行えます。
スマホで行う遠隔矯正サポート
スマートフォンで歯並びの変化を撮影し、医院がオンラインでチェック。通院回数を抑えながら矯正治療を進めることができます。
ご自宅でスマートフォンと専用キットを使い、矯正治療の進み方を確認できるのが
デンタルモニタリングです。
AIによる確認に加えてドクターも経過をチェックするため、
来院の負担を抑えながら治療を進めやすくなります。
遠方にお住まいの方や、お仕事・学校などで忙しい方にも続けやすいです。
なお、
デンタルモニタリングの費用は治療費に含まれており、別途費用はかかりません。

JR西広島駅
広電西広島・己斐駅から、徒歩2分
Google Maps
082-271-8148
はじめての場合は、必ずご予約の上ご来院ください。
| 診療時間 | 月 | 火 | 水 | 木 | 金 | 土 | 日 |
|---|---|---|---|---|---|---|---|
| 10:00-13:00 | × | ○ | ○ | ○ | × | ○ | ○ |
| 14:00-18:00 | × | ○ | ○ | ○ | × | ○ | ○ |
日曜日も診療しております(隔週17:00まで)
※休診日:月・金・祝
01.
矯正治療を専門に約40年にわたり、多くの症例を経験してきた歯科医師が診療を行います。豊富な経験と専門的な知識をもとに、初診から治療完了、その後のメンテナンスまで一貫して対応しています。
02.
患者さまの心身への負担を考え、できる限り歯を抜かずに歯並びを整える治療を大切にしています。その一方で、歯並びや口元のバランスを整えるために抜歯が必要になる場合もあります。当院では、お口の状態を丁寧に確認し、必要に応じて抜歯を伴うマウスピース矯正も含めて、無理のない治療計画をご提案します。
03.
抜歯を伴う症例にも、マウスピース型矯正装置で対応しています。 目立ちにくさだけでなく、噛み合わせや口元のバランスまで考えながら治療を進めます。 他院で抜歯が必要と言われた方も、治療方法の選択肢をご相談いただけます。
04.
デンタルモニタリングを導入しており、スマートフォンを使ってご自宅から矯正の進行状況を確認できます。通院回数を抑えながら、治療の経過を確認できる体制を整えています。 忙しい方や遠方から通われる方にも続けやすい治療環境です。
05.
治療内容や開始時期、費用について納得してから治療を始めていただけるよう、カウンセリングを行っています。カウンセリング時にはコンピューターシミュレーションによる診断も実施し、治療後の歯並びや口元の変化を視覚的に確認いただけます。
06.
成長段階に応じた適切な治療を行うことで、将来的な負担を抑えた矯正が可能になります。お子さまの顎の成長や生活習慣を考慮し、無理のない方法で健やかな歯並びへ導きます。虫歯予防にも配慮し、歯を守りながら矯正治療を行っています。
低摩擦ブラケットや細いワイヤーを使い、歯にかかる力を段階的に調整します。調整後の違和感にも配慮し、できるだけ負担の少ない矯正治療を行います。
詳しくはこちら
デンタルデンタルモニタリングを活用し、ご自宅から治療の経過を確認できます。AIとドクターの両方でチェックし、来院間隔を調整しながら進められます。
詳しくはこちら
装置のまわりは汚れがたまりやすいため、歯磨き指導やフッ素塗布などでケアをサポートします。矯正中の虫歯やトラブルを防ぎやすい環境を整えます。
詳しくはこちら
マウスピース矯正やクリアブラケットなど、見た目に配慮した治療方法をご提案します。生活やお仕事に合わせて無理なく始めやすい矯正治療です。
詳しくはこちら
抜歯が必要な症例では、マウスピース矯正は難しいと言われることがあります。当院では、状態を丁寧に確認したうえで、抜歯を伴うマウスピース矯正にも対応しています。
詳しくはこちら
治療費は進行段階に応じて分割でお支払いいただけます。一度に大きな負担をかけず、費用の見通しを持ちながら無理なく矯正治療を進めやすくなります。
詳しくはこちら
歯科医師・スタッフ全員で
寄り添う矯正治療
広島市で矯正治療を専門に行うこせき矯正歯科では、
成長期のお子さまから成人・シニア世代まで幅広く対応。
一人ひとりの成長段階やお悩みに合わせた矯正治療をご提案します。
目立たず、仕上がりにこだわった治療
Adult orthodontic
見た目の美しさだけでなく、将来まで安定した噛み合わせを重視した矯正治療を行っています。 「目立たない」マウスピース型矯正装置にも対応し、生活スタイルに配慮した治療が可能です。 Eラインや口元のバランスも丁寧に分析し、顔全体の調和を考えた治療計画を立てます。 治療期間の短縮よりも、噛み合わせや仕上がりの完成度を大切にしています。
詳しく見る»
成長を味方に、将来につながる治療
Child orthodontic
子どもの矯正治療は、歯並びだけでなく顎の成長や発育を正しく導くことが大切です。 成長段階に応じた診断を行い、無理のない治療計画を立てています。 顎の大きさやバランスを整えることで、将来永久歯がきれいに並ぶ土台をつくります。 お子さま本人はもちろん、保護者の方にも分かりやすく説明し、 安心して通える矯正治療を心がけています。
詳しく見る»
矯正治療の専門医として、患者様のライフステージや治療に対する考えを尊重し、痛みやリスクを最小限にした、思いやりのある治療を行います。
歯並びを治すだけでなく、調和のとれた口元にすることを大切に治療を行っています。
従来のブラケットより歯の動きを妨げることなく、かつ痛みを感じにくい矯正方法です。
透明なマウスピースで目立たず、取り外しが簡単で通院回数が少なく済む矯正治療です。
特定の症状に限り、保険が適応されます。顎変形症の保険診療も行っています。
ご自宅や医院で、歯を削らずに白くし、あなたの口元を美しくします。
初診相談、初診時検査、診断・治療計画書についてはこちらをご覧ください。
こせき矯正歯科は、年間50症例以上のインビザライン治療実績をもつ歯科医師にのみ認定されるインビザライン・プラチナプロバイダーに認定されています。
豊富な治療経験をもとに、抜歯が必要と診断された難症例に対しても、歯を抜かない選択肢を含めた矯正治療をご提案できる可能性があります。
広島で抜歯が必要な難症例に対して
インビザライン矯正を行える
専門医は2~3人です。
当院は、インビザライン
プラチナプロバイダーを取得しており、
様々な症例に対応してきました。
抜歯しないと無理と断られた方でも、
諦めずまずはご相談ください。
マウスピース矯正をご希望でも、歯並びの状態によっては抜歯が必要になることがあります。そのような場合でも、当院では抜歯を伴うマウスピース矯正を検討できることがあります。
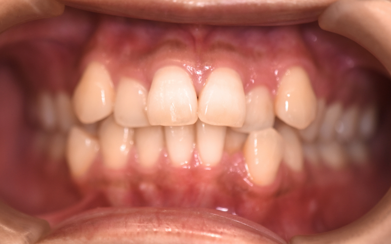
※当院で抜歯を伴うマウスピース矯正を行った症例です。
左右にスライドして歯並びの変化をご確認いただけます
当院で矯正歯科治療を始められる患者さまには、日本矯正歯科学会認定医専用の「成人矯正歯科治療保証制度」をご利用いただくことができます。
動的治療が完了した後、「後戻り」の状態になられ、当医院で再治療を希望される場合、税込15万円までは追加費用なしで再治療を受けていただけます。
1
後戻りした場合に、保険に加入していただくと 税込15万円までは追加費用なしで再治療を受けられる。

2
保定期間開始日の1年後から4年間の保証期間内に 再治療を受けられる。

理事長 小跡 清隆
患者さまの笑顔のために、
リスクの少ない矯正治療。
はじめまして。理事長の小跡清隆(こせききよたか)です。
今、ホームページを訪問された皆さんの多くは、きっと歯並びに対して何らかのお悩みをお持ちになりながら、ご覧になっているのだと思います。
私自身は矯正歯科治療を専門に行う歯科医師として多数の症例と向き合い治療をしてきましたが、およそ40年間、この仕事を続けている1番の理由は、矯正治療が進み、歯並びが整ってくるにつれて、患者さまの表情が明るい笑顔になっていく…その喜びに他なりません。
所属学会
長く通う矯正歯科だからこそ
楽しめる雰囲気を大切にしています。
矯正治療は数回の通院で終わるものではなく、長期間にわたる治療です。だからこそ、患者さまとの信頼関係が大切だと感じています。
治療中は関係ない話題や冗談を交えて、リラックスできる雰囲気を作るよう心掛けています。そうすることで、患者さまも治療の不安を感じにくくなり、私も気軽にお願いできるようになります。
所属学会
院長 小跡 弘幸
もっと好きになれる、 わたしの笑顔。
こんなに変わる、
歯並びのガタガタ(叢生)を改善したい。歯並びをキレイにしたい。
前歯の噛み合わせが深くて、前歯が出ていて歯茎が出る(ガミースマイル)のを引っ込めて、口元を改善したい
物が噛みにくい。上下の前歯が噛み合わないのを治したい。
八重歯になっていて前歯がデコボコしているのを治したい。
すきっ歯。上下前歯の中心のずれ。切端咬合。歯並びをキレイにしたい。
下の前歯が出ていて、歯が凸凹しているのを揃えて、口元を引っ込めたい
現金、クレジットカード
デンタルローンでの決済可能
当院では、現金、クレジットカード、デンタルローンで決済を行えます。
クレジットカード決済は(VISA/MASTER/JCB/AMEX)に対応しています。

総額 (税込)
月649,000円〜
総額(税込)
月660,000円〜
矯正治療には、取り外しのできる装置や口の中に入ったままの固定式装置などいろいろ使用します。取り外しのできる装置には、歯を移動させるために、口の中で使用するものと口の外で使うものとがあります。
取り外しのできない装置は、歯に固定するので、より効果が得られ、広い範囲の治療に適応できるので多く用いられています。歯並びの状態により矯正歯科医が現状を診断し、装置を決定しますので、説明をよく聞いてください。
これまで矯正治療は、子供だけのものと思われがちでしたが、大人になってからでも治療ができます。ですから、矯正治療にはほとんど年齢制限はないといえるでしょう。治療の時期についてですが、悪い歯並びにはいろいろな形のものがあり、その原因や状態、程度は個人によってまったく違っています。
ですから、治療の時期も一定ではありません。たとえば、上下の顎の骨に大きなズレがあるような受け口や出っ歯は、顎の骨が成長をしている時になるべく早く、乳歯の時期から治療を必要とすることもあります。
一方、永久歯が生え揃ってから治療した方が、短期間に効率よく治療できる場合があります。このように、症例により治療の時期が違うので、一概に時期的には何歳頃が最適かということはできません。この意味からも、なるべく早く矯正歯科医に相談することが望ましいのです。
成長を利用した治療ができるために、顎の成長を抑制したり促したりして治すことができ、歯を抜かずに治療できる可能性が高くなります。骨格と歯並びの両方から治療していけるために、最初のうちは装置も比較的シンプルなものや、取り外しのできる装置で治療を進めていくとこができることがメリットといえます。
●6歳臼歯(第一大臼歯:前から6番目の歯)は正常に生えてきたか
●上顎の2本の前歯の隣には隙間があって乳歯の前歯が並んでいるか
隣の乳歯の前歯が抜けている場合はその隙間が7mmくらいあるかどうか
●乳歯の前歯は自然に永久歯に生え替わったか
●側切歯(前から2番目の永久歯)は歯列からねじれずに並んでいるかどうか
●上下の前歯で上の前歯が下の前歯の前で噛み合っているかどうか
●指しゃぶりや舌を出すくせがないかどうか
●奥歯を噛み合わせて前歯が噛み合っているかどうか。離れていないかどうか
歯をよくみがけない部分ができて、虫歯や歯肉炎、歯槽膿漏の原因にもなり、歯の寿命を短くします。
歯は食べ物を噛みくだき、すりつぶして消化しやすくするので、歯が悪いと消化器官だけでなく、発育にも大きな影響を与えます。そのため、きれいな歯並びにする必要があるのです。
昔から「健全な精神は健康な体に宿る」といわれますが、歯並びが悪いとそのの性格や考え方にも影響があるものです。治療によって、内気で無口だった人が、快活に変身することが多いのです。
INFECTION CONTROL MEASURES
間隔をあけて
お並びいただきます
歯科医院内全員の
マスク着用徹底
ご来院時の
手指消毒のお願い
ご来院時の
体温測定のお願い
待合室での
座席間隔
お電話でお問い合わせ
【受付時間】10時〜13時、14時〜18時 / 【休診日】月金祝日
JR西広島駅
広電西広島・己斐駅から、徒歩2分
Google Maps
082-271-8148
はじめての場合は、必ずご予約の上ご来院ください。
| 診療時間 | 月 | 火 | 水 | 木 | 金 | 土 | 日 |
|---|---|---|---|---|---|---|---|
| 10:00-13:00 | × | ○ | ○ | ○ | × | ○ | ○ |
| 14:00-18:00 | × | ○ | ○ | ○ | × | ○ | ○ |
日曜日も診療しております(隔週17:00まで)
※休診日:月・金・祝