矯正の痛みが不安/
できるだけ痛くない治療がいい
低摩擦ブラケットや細いワイヤー、段階的な力で負担を軽減。装置調整後の違和感もできるだけ小さくします。
詳しくはこちら診療時間/10:00-18:00 休診日/月・金・祝※日曜日も診療あり
笑顔が素敵。
そう言ってもらえる、あなたになる。
当院は、「いつまでも自分の歯で、すてきな笑顔で生活できるように」を
あなたに届けるために、歯並び・矯正治療を専門に行っています。

笑顔が素敵。
そう言ってもらえる、あなたになる。
![]()
当院は、「いつまでも自分の歯で、すてきな笑顔で生活できるように」を あなたに届けるために、歯並び・矯正治療を専門に行っています。
ご自宅で、スマートフォンと専用キットを使って、矯正治療の進行状況を確認できる
「デンタルモニタリング」。
AIによるチェックとドクターの確認で、来院の負担を減らしながら、治療をよりスムーズに進めることができます。
遠方にお住まいの方や、忙しくて通院が難しい方にもぴったりの、これからの時代の新しい矯正スタイルです。

JR西広島駅
広電西広島・己斐駅から、徒歩2分
Google Maps
082-271-8148
はじめての場合は、必ずご予約の上ご来院ください。
| 診療時間 | 月 | 火 | 水 | 木 | 金 | 土 | 日 |
|---|---|---|---|---|---|---|---|
| 10:00-13:00 | × | ○ | ○ | ○ | × | ○ | ○ |
| 14:00-18:00 | × | ○ | ○ | ○ | × | ○ | ○ |
日曜日も診療しております(隔週17:00まで)
※休診日:月・金・祝
INFECTION CONTROL MEASURES
間隔をあけて
お並びいただきます
歯科医院内全員の
マスク着用徹底
ご来院時の
手指消毒のお願い
ご来院時の
体温測定のお願い
待合室での
座席間隔
理事長 小跡 清隆
はじめまして。理事長の小跡清隆(こせききよたか)です。
今、ホームページを訪問された皆さんの多くは、きっと歯並びに対して何らかのお悩みをお持ちになりながら、ご覧になっているのだと思います。当院に関心をお寄せいただき、ありがとうございます。
私自身は矯正歯科治療を専門に行う歯科医師として多数の症例と向き合い治療をしてきましたが、およそ40年間、この仕事を続けている1番の理由は、矯正治療が進み、歯並びが整ってくるにつれて、患者さんの表情が明るい笑顔になっていく…その喜びに他なりません。
当院で矯正歯科治療を始められる患者様には、日本矯正歯科学会認定医専用の「成人矯正歯科治療保証制度」をご利用いただくことができます。
動的治療が完了した後、「後戻り」の状態になられ、当医院で再治療を希望される場合、税込15万円までは追加費用なしで再治療を受けていただけます。
1
後戻りした場合に、保険に加入していただくと 税込15万円までは追加費用なしで再治療を受けられる。

2
保定期間開始日の1年後から4年間の保証期間内に 再治療を受けられる。

01.
親子診療で長期経過観察治療が可能です
02.
できるだけリスクの少ない治療
治療後のアフターケアも充実
03.
患者さん一人ひとりに合った具体的な診断をおこないます
04.
虫歯予防も行って、歯を守りながら矯正を行います
05.
マウスピース矯正装置や裏側矯正装置、目立たないミニクリッピー装置などを使用しています
06.
治療の進行ごとに、分割してお支払いいただくシステムで安心です
低摩擦ブラケットや細いワイヤー、段階的な力で負担を軽減。装置調整後の違和感もできるだけ小さくします。
詳しくはこちら
デンタルデンタルモニタリングで自宅から経過チェック。AI+ドクターで確認し、来院間隔を最適化できます。
詳しくはこちら
装置まわりの清掃までサポート。歯磨き指導・フッ素塗布・シーラントなどでトラブルを未然に防ぎます。
詳しくはこちら
マウスピース矯正、裏側矯正、クリアブラケットなど、生活やお仕事に配慮した装置をご提案します。
詳しくはこちら
ブリッジ・欠損・歯周病などでも、連携治療で対応可能な場合があります。まずはご相談ください。
詳しくはこちら
治療の進行段階ごとに分割でお支払い。大きな一括負担を避け、費用の見通しも明確にできます。
詳しくはこちら
矯正治療の専門医として、患者様のライフステージや治療に対する考えを尊重し、痛みやリスクを最小限にした、思いやりのある治療を行います。
歯並びを治すだけでなく、調和のとれた口元にすることを大切に治療を行っています。
従来のブラケットより歯の動きを妨げることなく、かつ痛みを感じにくい矯正方法です。
透明なマウスピースで目立たず、取り外しが簡単で通院回数が少なく済む矯正治療です。
特定の症状に限り、保険が適応されます。顎変形症の保険診療も行っています。
ご自宅や医院で、歯を削らずに白くし、あなたの口元を美しくします。
初診相談、初診時検査、診断・治療計画書についてはこちらをご覧ください。
当院では様々な種類の矯正方法を取り扱っております。矯正専門医院では連携の難しいオールセラミッククラウンや、インプラント治療との併用も対応可能です。美しい顔立ちを目指し、骨格から咬み合わせを判断します。費用の制約や治療期間の制約なども最大限対応し、様々な角度から治療のゴールを判断いたします。お支払いにはデンタルローンもご利用いただけます。詳しい料金体系については治療費用ページをご覧ください。
料金表を見る矯正治療には、取り外しのできる装置や口の中に入ったままの固定式装置などいろいろ使用します。取り外しのできる装置には、歯を移動させるために、口の中で使用するものと口の外で使うものとがあります。
取り外しのできない装置は、歯に固定するので、より効果が得られ、広い範囲の治療に適応できるので多く用いられています。歯並びの状態により矯正歯科医が現状を診断し、装置を決定しますので、説明をよく聞いてください。
これまで矯正治療は、子供だけのものと思われがちでしたが、大人になってからでも治療ができます。ですから、矯正治療にはほとんど年齢制限はないといえるでしょう。治療の時期についてですが、悪い歯並びにはいろいろな形のものがあり、その原因や状態、程度は個人によってまったく違っています。
ですから、治療の時期も一定ではありません。たとえば、上下の顎の骨に大きなズレがあるような受け口や出っ歯は、顎の骨が成長をしている時になるべく早く、乳歯の時期から治療を必要とすることもあります。
一方、永久歯が生え揃ってから治療した方が、短期間に効率よく治療できる場合があります。このように、症例により治療の時期が違うので、一概に時期的には何歳頃が最適かということはできません。この意味からも、なるべく早く矯正歯科医に相談することが望ましいのです。
成長を利用した治療ができるために、顎の成長を抑制したり促したりして治すことができ、歯を抜かずに治療できる可能性が高くなります。骨格と歯並びの両方から治療していけるために、最初のうちは装置も比較的シンプルなものや、取り外しのできる装置で治療を進めていくとこができることがメリットといえます。
●6歳臼歯(第一大臼歯:前から6番目の歯)は正常に生えてきたか
●上顎の2本の前歯の隣には隙間があって乳歯の前歯が並んでいるか
隣の乳歯の前歯が抜けている場合はその隙間が7mmくらいあるかどうか
●乳歯の前歯は自然に永久歯に生え替わったか
●側切歯(前から2番目の永久歯)は歯列からねじれずに並んでいるかどうか
●上下の前歯で上の前歯が下の前歯の前で噛み合っているかどうか
●指しゃぶりや舌を出すくせがないかどうか
●奥歯を噛み合わせて前歯が噛み合っているかどうか。離れていないかどうか
歯をよくみがけない部分ができて、虫歯や歯肉炎、歯槽膿漏の原因にもなり、歯の寿命を短くします。
歯は食べ物を噛みくだき、すりつぶして消化しやすくするので、歯が悪いと消化器官だけでなく、発育にも大きな影響を与えます。そのため、きれいな歯並びにする必要があるのです。
昔から「健全な精神は健康な体に宿る」といわれますが、歯並びが悪いとそのの性格や考え方にも影響があるものです。治療によって、内気で無口だった人が、快活に変身することが多いのです。
※医療法に基づいて厚生労働省から出されている『医療広告ガイドラインに関するQ&A(2018年8月)』に従って、「限定解除の4要件」を満たすため、以下を掲載します。
●マウスピース型矯正装置(インビザライン)は医薬品医療機器等法(薬機法)の未承認の矯正装置であり、医薬品副作用被害救済制度の対象外となる場合があります。
こせき矯正歯科ではマウスピース型矯正装置(インビザライン)を用いた治療の有効性を認め導入をしております。
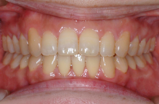
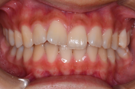
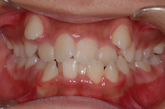
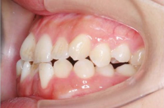
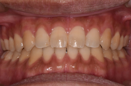
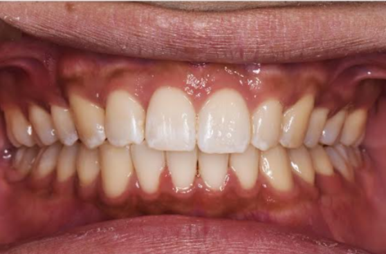
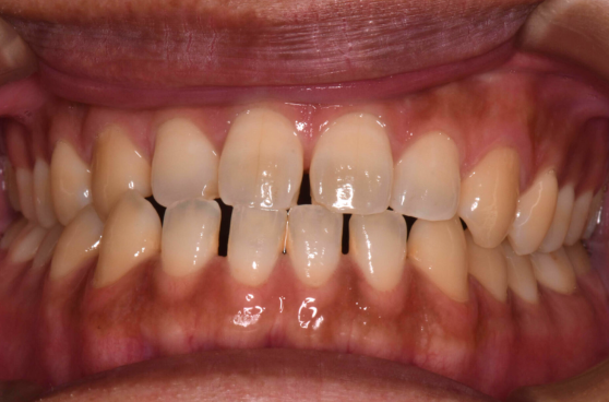
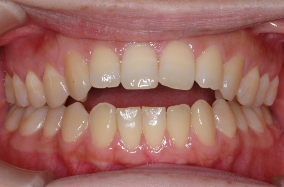
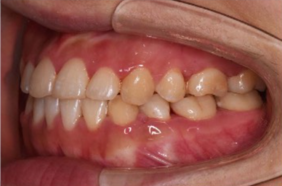
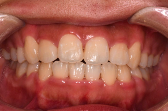
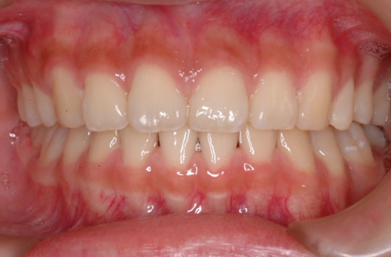
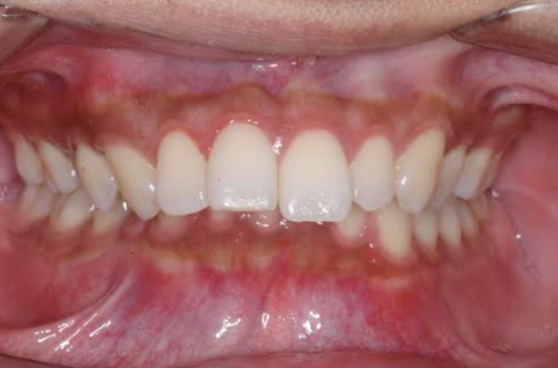
もっと好きになれる、 わたしの笑顔。
こんなに変わる、
前歯の噛み合わせが深くて、前歯が出ていて歯茎が出る(ガミースマイル)のを引っ込めて、口元を改善したい
上の前歯が出っぱっていて、デコボコしているのを治したい。口元を引っ込めたい
物が噛みにくい。上下の前歯が噛み合わないのを治したい。
八重歯になっていて前歯がデコボコしているのを治したい。
すきっ歯。上下前歯の中心のずれ。切端咬合。歯並びをキレイにしたい。
下の前歯が出ていて、歯が凸凹しているのを揃えて、口元を引っ込めたい
お電話でお問い合わせ
【受付時間】10時〜13時、14時〜18時 / 【休診日】月金祝日
JR西広島駅
広電西広島・己斐駅から、徒歩2分
Google Maps
082-271-8148
はじめての場合は、必ずご予約の上ご来院ください。
| 診療時間 | 月 | 火 | 水 | 木 | 金 | 土 | 日 |
|---|---|---|---|---|---|---|---|
| 10:00-13:00 | × | ○ | ○ | ○ | × | ○ | ○ |
| 14:00-18:00 | × | ○ | ○ | ○ | × | ○ | ○ |
日曜日も診療しております(隔週17:00まで)
※休診日:月・金・祝